Loading...

What We Do

Layanan Kesehatan
Gigi dan Mulut

Pelayanan kesehatan gigi dan mulut adalah layanan yang mencakup pemeriksaan, pengobatan, dan tindakan medis dasar untuk kesehatan gigi dan mulut. Selain itu, pelayanan kesehatan gigi dan mulut juga dapat berupa penyuluhan atau edukasi mengenai pentingnya menjaga kesehatan gigi dan mulut

Konsultasi

Konsultasi dengan dokter gigi yang teratur tak hanya dapat membantu mencegah masalah kesehatan gigi dan mulut

Read More
Scalling

Scaling gigi dilakukan untuk membersihkan dan menghilangkan plak dan karang gigi

Read More
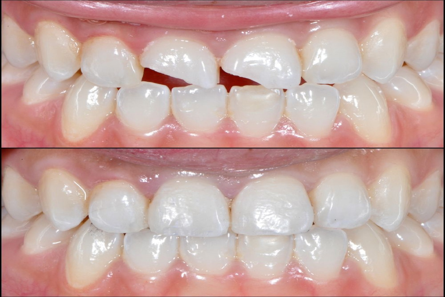
Tambal Gigi Depan

Tambal gigi depan bertujuan untuk memperbaiki penampilan gigi yang rusak, retak, atau tidak sempurna secara estetis

Read More
Tambal Gigi Belakang

Penambalan gigi adalah prosedur yang dilakukan untuk memperbaiki gigi yang berlubang atau rusak

Read More
Perawatan Syaraf Gigi

Perawatan saluran akar adalah perawatan yang dilakukan bila gigi sudah berlubang besar hingga mencapai saraf gigi

Read More
Cabut Gigi

Cabut gigi adalah prosedur untuk mengeluarkan gigi dari soketnya yang dilakukan ketika gigi sudah tidak dapat diperbaiki lagi

Read More
Bleaching

Bleaching gigi adalah prosedur untuk mencerahkan warna gigi dengan menghilangkan noda pada permukaan gigi

Read More
Kontrol Behel

Kontrol behel adalah kunjungan rutin ke dokter gigi untuk memantau perkembangan gigi yang sedang dirapikan

Read More
Image
Image

About Us

We are Ready to Help Improve Your Treatment.

Dengan mengusung Tagline “It’s Time To Smile In Style” Klinik Gigi Zayana Dental Care menawarkan fasilitas yang ramah mulai dari Dokter Gigi, Perawat dan Front Liner dalam menyambut pasien dari berbagai usia, sehingga pasien nyaman untuk konsultasi permasalahan gigi yang dihadapi. Pasien pun dapat tersenyum kembali dengan percaya diri.

It’s Time To Smile In Style.

Self-Confidence.

Discover More

Why Choose Us

Get Your Brand New Smile

Klinik Gigi Zayana Dental Care adalah klinik gigi yang berpengalaman dalam menyediakan pelayanan perawatan gigi dan mulut dengan harga terjangkau di Pekanbaru. Jadwal praktek Klinik Gigi Zayana Dental Care hari Senin – Sabtu mulai pukul 16.00 – 21.00 dan Minggu (Dengan Perjanjian).

Profesional

Zayana Dental Care berkomitmen memberikan pelayanan Kesehatan gigi dan mulut dengan sebaik-baiknya sehingga didapatkan hasil yang optimal, dan memiliki standar kerja yang tinggi demi kenyamanan seluruh pasien

Berpengalaman

pengalaman dalam pelayanan Kesehatan gigi dan mulut menciptakan standar kinerja yang terus meningkat dalam menghadapi setiap permasalah gigi pasien, sehingga pasien merasa puas terhadap perawatan yang diberikan

Kenyamanan

Zayana Dental Care menciptakan lingkungan klinik yang rapi dan bersih mulai dari ruang tunggu sampai ruang tindakan, sehingga pasien merasa aman dan tenang dalam menjalani setiap perawatan

Review dan Testimoni

Dengan banyaknya review positif dan testimoni pasien setelah berkunjung ke Klinik Gigi Zayana Dental Care mencerminkan kepuasan pasien atas pelayanan yang diberikan. Review dapat ditemukan di laman media sosial Google Review

Harga

Zayana Dental Care berkomitmen untuk dapat memberikan pelayanan kesehatan gigi sebaik mungkin dengan harga terjangkau, sehingga pasien akan terus kembali dan mempercayakan kami sebagai Klinik Gigi dengan harga terjangkau di Pekanbaru.

Fasilitas Lengkap

Zayana Dental Care menyediakan fasilitas pelayanan gigi dan mulut yang lengkap seperti pembersihan karang gigi, penambalan gigi, perawatan saraf gigi, pencabutan gigi, pembuatan gigi palsu, pemasangan behel, perawatan estetik dan perawatan gigi anak. Sehingga Zayana Dental Care menjadi “One Stop Dental Treatment” di Pekanbaru

Meet our team

drg. Yonita Berliana Tyas Sukabi

  drg. Yonita Berliana Tyas Sukabi merupakan Founder dari Klinik Gigi Zayana Dental Care yang berkomitmen untuk memberikan pelayanan kesehatan gigi dan mulut dengan sebaik-baiknya pada seluruh pasien. Dengan mengusung Tagline “It’s Time To Smile In Style” diharapkan pasien dapat nyaman konsultasi atas permasalah gigi yang dihadapi sehingga setelah perawatan dapat tersenyum kembali dengan penuh percaya diri. Drg Yonita memiliki latar belakang sebagai alumni Fakultas Kedokteran Gigi Universitas Prof. DR. Moestopo (Beragama), Jakarta untuk meraih gelar dokter giginya dan mendapatkan predikat Cumlaude.


  Berawal dari bekal pengalaman praktek, kemudian drg Yonita bergabung dengan TNI-AD menjadi Dokter Gigi Militer yang sekarang berdinas juga di salah satu Rumah Sakit Tentara di Pekanbaru. Pengalaman sebagai Dokter Gigi Militer membawa drg Yonita untuk mendirikan Klinik Gigi Zayana Dental Care sebagai salah satu Klinik Gigi yang dapat memperbaiki permasalah gigi para Calon Siswa Tentara / Polisi / Sekolah Kedinasan lain sehingga dapat mempersiapkan kondisi gigi dan mulut yang maksimal untuk pendaftaran nantinya. Klinik Gigi Zayana Dental Care hadir sebagai jawaban ditengah masyarakat Pekanbaru untuk mendapatkan perawatan gigi yang berkualitas, pelayanan yang bersahabat, dengan harga yang terjangkau.

Full Name

Message Physio Therapist

Testimonial

What Clients are Say